
A dental implant is a prosthetic tool used to restore a missing tooth. It is surgically placed in the jaw bone. It works as a replacement for the tooth root. Dental implants are also known as endosseous implants. After insertion of the implant, attachment of the crown takes place to mimic the appearance of your natural tooth
It is used to replace missing teeth. Tooth loss can be due to trauma, accidents, decayed teeth, or gum diseases. Following are the reasons one can choose to get a dental implant
Following are some of the advantages of dental implants:
If there is only one missing tooth, the implant is surgically placed and an abutment is connected to it. A crown is later connected to the abutment screw. If there are multiple missing teeth, then dental implants work as a tool for a fixed prosthesis or removable denture.

An implant-retained bridge is used when patients ask for fixed prostheses In these cases, the implant screw provides support and strength rather than using the adjacent tooth for support. This can be used for even two teeth or more, or even the entire arch.

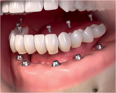
This is a removable implant-based denture. In this type of prosthesis, the support and stability are provided by the implants. This is normally used for the edentulous arch. This denture can be removed with the help of finger pressure.

In orthodontic treatment, dental implants work as a replacement for missing teeth or a temporary anchorage device (TAD) to provide additional support for the movement of the tooth.

This procedure is done only by professional implantologists. The first step involves an X-ray examination. After investigation, a treatment plan is made.
Next, the dental implant, which is made of titanium, is placed in the socket of the missing tooth. The implanted root is left in place for about two months to allow the bone to heal properly. The bone grows around it, and it securely holds the post within the bone.
After a specific period, your dentist will take another X-ray to look for the healing of the bone surrounding the implant. If the implant is fitted properly in the bone, then the next step is performed.
The implant is then fitted with an abutment. Then, the dentist takes an impression of your mouth so that the crown can be fabricated. The crown is attached to the abutment. The dentist chooses the same shade for the crown as the natural tooth. The crown is cemented or screwed to the implant.
The cost varies from patient to patient. If the implant tooth does not fill the missing space, the adjacent tooth begins to move into the space, and jaw bone loss begins. So, it is better to go for dental implant treatment. There are various steps to this, and so the procedure makes it expensive.
Highlights:
What are dental implants made of? Dental implants are made of titanium.
Will dental implants last a lifetime? With proper care and maintenance of oral hygiene, implants last a longer period of time.
Which dental implants are the best? Â You cannot decide which implant is best. The dentist chooses which implant is best depending on the jaw bone density and the amount of available space.
Will a dental implant lift my face? Yes, dental implants help to maintain facial appearance. It maintains the density of the jawbone to support the natural teeth.
When do dental implants fail? If there is insufficient bone support, infection, nerve or tissue damage, a suboptimal implant position, or if you do not follow postoperative instructions, the dental implant will fail.
Do dental implants fail? No, they are not painful, as the dentist will administer local anesthesia. Although one can feel little pain after the procedure.