

Not long ago, heart attacks were primarily a problem faced by older adults. It was rare for anyone younger than 40 to have a heart attack. Now 1 in 5 heart attack patients is younger than 40 years of age. These days there is no heart attack age limit whatsoever, especially in India.
These days lifestyle changes are a must in order to protect yourself from the risks of early age heart attacks. But would you want to live in the fear of early age heart attacks throughout the age when you should be enjoying life to the fullest? If not, there are some precautions you can take to reduce the risks.
Of course, everyone talks about the precautions of changing your lifestyle, dietary habits as well as stress management to reduce the risks of early age heart attacks; which are very much needed too. But did you ever think about how ignoring certain dental habits could be putting your heart at risk?
Oral care is an essential part of your lifestyle that can actually help prevent heart attack. Studies prove that oral health is directly linked to heart diseases. Studies prove a good oral hygiene can reduce the risk of heart attacks.
Flossing your teeth is one way you can do this. Let’s find out how

How many times have you heard the phrase "You're only as healthy as your mouth is"? It's a popular saying that makes sense, but most people don't realize how important oral hygiene is to their overall health.
In recent years, we've seen a sharp rise in the number of people suffering from early-onset heart disease. One such study found that 25% of people were experiencing serious heart issues and heart attacks at the age range of 25-35.
This is alarming news for anyone who wants to live a long life and enjoy it, but it's especially important for those who have family history or genetic predispositions to heart disease.
The reasons for early age heart attacks count in disturbed lifestyle, stress, lack of exercise, smoking, alcohol consumption—to name a few. But ignoring your oral hygiene is another potential risk factor for heart attacks.
You would now start to wonder —” Am I doing all what’s needed to maintain a good oral hygiene”? Well, the answer is NO, if you are just brushing your teeth.

If you're not flossing, you're missing out on a lot of flossing benefits and gaining more problems yourself.
Brushing your teeth is an important first step in taking care of your oral hygiene, but stopping there is putting at mouth and heart both at risk. Brushing alone only cleans 60% of your teeth.
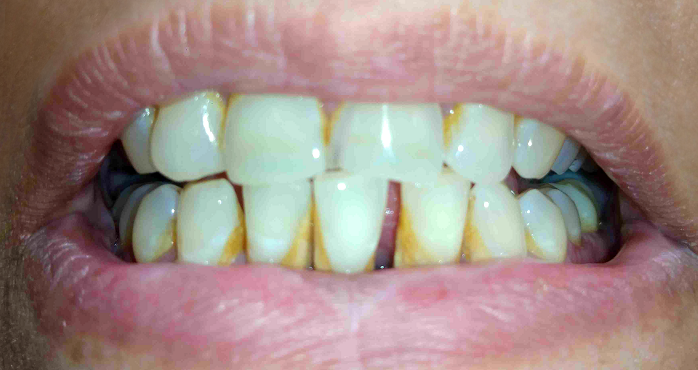
But what about the remaining 40%? What happens if they aren't cleaned? Plaque and bacteria get locked in these tight spaces between two teeth and cause the gums around your teeth to become diseased and inflamed. This causes early signs of gum disease and leads to gingivitis and periodontitis (gum infections) which can lead to tooth loss, pain and other problems like diabetes or heart disease if left untreated.

Plaque and bacteria that get entrapped between your teeth are the link to your oral and heart diseases. The plaque in your mouth responsible for causing oral diseases is the same that causes heart diseases. Bacteria in this plaque eg. P. Gingivalis and P. Intermedia are the main bacteria that cause damage to the gum tissues and the surrounding bone. Studies prove these bacteria are linked to heart disease.
Due to this soon you can start seeing early signs of gum diseases like bleeding gums, puffy gums, swollen and red inflamed gums.
If you see these signs much early then gum conditions can be prevented from getting worse. But Ignorance of these gum conditions leads to something more serious — periodontitis affecting the tissues and the surrounding bone causing its destruction. Studies show the increased risk of heart attacks with the severity of periodontitis — as bacterial levels in the mouth shoot up.
As the gum damage keeps progressing and spreading to the surrounding structures, the bacterial levels in the mouth keep multiplying and increasing; P. Gingivalis and P intermedia levels shoot up and are the main causes of poor gum health.
P. Gingivalis and P intermedia bacteria are anaerobic bacteria that thrive in oxygen-free environments such as inside your mouth cavity. As these bacteria multiply, they release toxins that break down tissue in your gums resulting in further inflammation and swelling around them. This leads to further damage to your gums, teeth, and bone structures as well as an increase in bacterial levels causing other problems like bad breath etc.
As bacterial levels shoot up in the mouth, the overall hygiene in the mouth is compromised. You'll know this happens when you start having bad breath because of all these bacteria multiplying inside your mouth cavity! Increased levels of S. Mutans in bacterial colonies enter into our bloodstream through ulcers or cracks on our gums, which can travel throughout our body via blood flow eventually reaching heart arteries where they cause plaque lesions which can lead to heart disease as well.

By now you know there is some link between heart diseases and oral diseases. But you're still probably finding the reason to why is gum disease linked to the heart? Infection of the heart, endocarditis, is a serious condition that can lead to heart attack or stroke. Endocarditis is caused by bacteria entering the bloodstream from the mouth. The same bacteria that cause gum disease are also responsible for causing damage to the inner lining of the heart walls and rupturing valves on the heart. Oftentimes, there are no symptoms until it’s too late.
The plaque that forms on your teeth is the same type of plaque that builds up in your arteries and causes heart disease. Plaque buildup in your arteries becomes a serious problem when the buildup of plaque on the walls of your arteries narrows them and restricts blood flow. A complete blockage can cause early age heart attack.
Studies also suggest another theory where body induces an immune response due to increased bacterial counts. This causes the CRP levels to rise and increases the risk of atherosclerotic plaques in the blood vessels of heart. This compromises the condition of the heart putting you at risk of early-age heart attacks.

Flossing cleans the remaining 40% of the tooth surfaces which a toothbrush can’t. This naturally reduces the amount of bacterial load in the mouth. Flossing reaches the areas where the bristles of the toothbrush can’t. It flushes out the microorganisms, food remnants that reside in the intricate areas. Thus, bacteria do not enter the bloodstream in large amounts. Due to this, there are fewer bacteria reaching the heart —which causes less inflammatory response from your body— no risk of atherosclerotic lesions— and less chance of heart attacks.
Hence, taking care of your gums is one way you can reduce the stress load on your heart. This can contribute to preventing early age heart attacks. If you're not paying attention to your oral hygiene, it’s time you start doing it now. One simple step towards a healthy heart— is flossing! Flossing helps reach areas between your teeth that bristles cannot reach and improves oral hygiene. And the best part is it only takes about two minutes each day!
Highlights:
Dr. Amrita Jain is a practicing dental surgeon since 4 years. She completed her B.D.S in 2016 and was has been a rank holder throughout her course. She suggests “Holistic dentistry is the best dentistry”. Her treatment line follows a conservative pattern which means saving a tooth is of utmost priority and preventing your teeth from getting decayed rather than curing it with a root canal treatment. She inculcates the same while consulting her patients.Apart from her interest in clinical practice, she has developed interest in research and writing over a period of time. She states “It is my clinical experience that motivates me to write and spread dental awareness”.Her articles are well researched with a combination of technical knowledge and clinical experience.
Supported by
scanO is an AI ecosystem transforming oral health for patients, dentists, corporates, and insurers worldwide

© 2025 Trismus Healthcare Technologies Pvt Ltd