Maligned mouth- Why are your teeth out of alignment?

Dr Amrita Jain
October 16, 2025

If a few teeth in your mouth seem to be out of alignment you have a maligned mouth. Ideally, teeth should fit in your mouth. Your upper jaw should rest on the lower jaw while leaving no gaps or overcrowding in between the teeth. At times, when people suffer from malaligned teeth, teeth may erupt crooked and seem to appear in front or behind due to a lack of space within the jaw. This is because do not have sufficient space to erupt in a proper alignment.

Maligned teeth make it difficult to maintain hygiene and make it more prone to cavities and gum diseases. Chewing efficiency is also hampered when teeth are out of alignment.

Let’s understand more about having a maligned mouth—

Why are your teeth out of alignment?

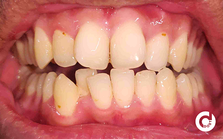
malaligned-teeth-dental-blog

Your jaw size and the size of your teeth matter when it comes to malaligned teeth. A larger jaw size and relatively small tooth size will result in more spacing between your teeth from childhood. Similarly, smaller jaw size and larger tooth size can result in crowding of teeth. Since there is no space the tooth will try to accommodate itself anyhow. This will result in a situation where you would need orthodontic treatment (braces or clear aligners) to get your teeth into proper alignment.

Habits

  • Early baby tooth loss- cavities in early childhood leading to early loss of milk teeth can affect the alignment of the permanent teeth.
  • Thumb sucking- Thumb sucking habit is considered normal up to 4-5 years of age. After 5 years of age this habit causes the upper arch to become narrow and upper front teeth to protrude and push out.
  • Tongue thrusting- This habit causes a huge gap between your upper and lower front teeth when you bite.
  • Mouth breathing- In children, mouth breathing can lead to facial deformities and crooked teeth.

Medical conditions

  • Malnutrition- malnutrition does not allow complete development of the jaws and teeth. This may result in jaw size and tooth size discrepancies which causes your teeth to be out of alignment.
  • Trauma- accidental injuries and sports injuries can also cause mal-alignment of your teeth.
  • Aging: Just as the process of aging impacts our body, many factors like physical force alters the alignment of our teeth.

Hereditary

  • Genetics play a role in deciding the size of your jaw and tooth. Parents with malaligned teeth are more likely to pass on the same tooth characteristics to their children. Crowding, jaw size, jaw shape, having too many teeth (hyperdontia), overbites, underbites, and poor tooth or palate development are some of the conditions that can be passed down in your family.

Dental Causes

  • Missing tooth: Other teeth try to fill up the gap of missing tooth and thus leads to supra eruption and misaligned teeth.
  • Dental diseases: Diseases of gums and bones can cause teeth to move and change their position in the oral cavity.

Signs and symptoms of maligned teeth

  • Upper teeth seem to be more proclined( protruding out)
  • Lower jaw/ teeth seem to be more forward
  • one or more teeth are out of alignment
  • Canines are protruding out
  • overlapping of teeth
  • spacing between your teeth
  • crowding in lower / upper teeth
  • Few teeth are bigger then other teeth
  • Few teeth may be smaller than other teeth
  • One/ few teeth may be twisted or rotated
  • Sometimes teeth dig into your lips or the gums opposite when you close your mouth, which can be painful.
  • Tooth decay may develop, and the teeth may be more prone to damage if you have an accident.
  • After a while the joints of the jaw might start hurting and the jaw muscles may tighten.
  • Pain in jaw joint while chewing or opening and closing your mouth

Long-term impact of crooked teeth

Severe crowding of teeth can cause more food and plaque to accumulate over the tooth surface. Maintaining a good oral hygiene and brushing properly can be challenging due to this. Problems like food getting stuck between your teeth can be a result of spacing between two teeth. All this can enhance the risk of gum diseases and dental caries. Aligning your teeth with the help of braces or orthodontic treatments can not only change your facial appearance but prevent you from further problems like

  • Severe misalignments can affect things like eating, drinking and speaking, or cause breathing problems.
  • Pain in the Temporomandibular joint (TMJ or jaw joint)
  • More plaque and calculus- Difficult to maintain oral hygiene
  • accumulation between teeth further leading to gum diseases
  • Wearing out of teeth enamel which further prevents tooth sensitivity
  • Gingivitis and bleeding gums
  • Periodontitis (gum disease spreading to the bone)
  • Unpleasant smile and face aesthetics
  • Lower self-confidence

Maligned teeth can cause —

  • Gingivitis ( swollen puffy and red gums)
  • Periodontitis ( gum infections spreading to the surrounding tissues and bone)
  • Bleeding gums ( while brushing or chewing food)

Which diseases can aggravate if ignored?

  • Crooked teeth – particularly protruding upper incisors (upper front teeth that stick out) – are more likely to become damaged due to things like injury.
  • Other types of misalignment can cause the joints of the jaw to ache, make a clicking or popping sound, or become “blocked.” This can make it impossible to open your mouth wide, for instance.
  • Compensatory movements and teeth grinding can cause the teeth to wear each other down.
  • Hidden cavities between two teeth
  • Gum diseases like gingivitis
  • Gingivitis can progress to periodontitis

At Home care for maligned teeth

Crooked teeth need more care and hygiene maintenance than aligned teeth as more plaque as there is more tendency for plaque and calculus buildup around crooked teeth.

  • Technique of brushing is more important than the frequency of brushing
  • Flossing your teeth is a must for maligned teeth
  • Make sure to clean your tongue to get rid of white coating on your tongue
  • Use the right brushing technique to brush your teeth
  • Small brushing tools eg Proxa brushes can help clean small spaces between teeth
  • Oil pulling daily in the morning can prevent plaque and calculus attachment on teeth surfaces
  • Make sure to clean inside surfaces of teeth.

Choosing the right dental products for maligned teeth

  • Toothpaste - Gel/ paste-form toothpaste that prevents demineralization and promotes re-mineralization of enamel
  • Toothbrush - Medium soft/ soft toothbrush with more brush bristles to effectively get rid of plaque.
  • Mouthwash- Fluoridated mouthwash releases fluoride ions that harden your enamel and make it resistant to acid attack
  • Gum care - Oil pulling oil to prevent plaque and calculus buildup on teeth
  • Floss - Waxed coating dental tape floss
  • Tongue cleaner - U-shaped / silicon tongue cleaner

The bottom line

People with maligned teeth need to pay more attention to their oral hygiene, teeth and their gum health. Choosing the right dental care products for maligned mouth can save you from gum diseases and cavities too (which dental products are right for you). You can simply scan your teeth on your phone (on the scanO App) to know if you have a maligned mouth.

Highlights:

  • Maligned mouth mainly occurs due to teeth size and jaw size discrepancies.
  • Maligned teeth not just affect your smile and looks but also affect your oral hygiene status of your mouth.
  • It is very difficult to maintain oral hygiene if you have crooked teeth or teeth out of alignment.
  • If your oral type is that of maligned mouth, you definitely need different oral products to take care of your mouth.
 About the Author:

Dr. Amrita Jain is a practicing dental surgeon since 4 years. She completed her B.D.S in 2016 and was has been a rank holder throughout her course. She suggests “Holistic dentistry is the best dentistry”. Her treatment line follows a conservative pattern which means saving a tooth is of utmost priority and preventing your teeth from getting decayed rather than curing it with a root canal treatment. She inculcates the same while consulting her patients.Apart from her interest in clinical practice, she has developed interest in research and writing over a period of time. She states “It is my clinical experience that motivates me to write and spread dental awareness”.Her articles are well researched with a combination of technical knowledge and clinical experience.

Reviewed By:
See
What's
Never
Been Seen

scanO is an AI ecosystem transforming oral health for patients, dentists, corporates, and insurers worldwide

© 2026 Trismus Healthcare Technologies Pvt Ltd