

Taking charge of oral health is the need of the hour especially during Covid times. Unfortunately, oral hygiene has always been the last priority for people when it comes to overall health. All people know about dental hygiene is only to brush their teeth. But what about gums? Researches and studies show approximately 70% of patients have periodontal problems like bleeding gums are because of wrong brushing techniques that leave behind white plaque and tartar deposits causing gum irritation.

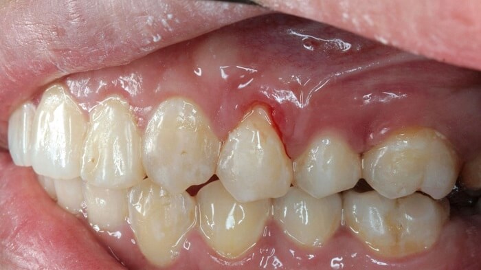
White soft deposits called plaque and yellow hard deposits on the teeth called tartar are the main culprits. Plaque and tartar deposits in and around the teeth irritate the delicate tissues surrounding the tooth (gums). This is the main reason for puffy and bleeding gums.
Other causes of bleeding gums are hormonal changes in females, faulty food habits, smoking, and constant use of toothpicks, vitamin deficiencies, and uncontrolled blood sugar levels (diabetes). Learning the right brushing technique is the basics of dental hygiene and a must to avoid problems like bleeding gums. In addition to this, visit your dentist every 6 months and eat raw leafy greens and fresh fruits, to keep your gums strong and healthy and gum infections like gingivitis and periodontitis away.
Majority of people follow a wrong brushing technique that is using a wrong brush, brushing aggressively (too roughly) or even too softly leading to bacteria residing on the teeth, not brushing on the sides, brushing for too long, or even too short period and failing to brush on the inner surfaces of the teeth. Plaque accumulation, tartar buildup, receding gums, tooth staining, cavities, and other issues can result from poor brushing and improper technique. Gum disorders can result from a variety of reasons, not only bad brushing habits.
Dr. Prachee Hendre, Periodontist & Implantologist (Gum Specialist) signifies, “Almost 70% of the patients visiting the dental care clinic have bleeding gums, due to inefficient brushing habits.” In her experience oral problems such as bleeding gums, periodontitis (infection of gums spreading to the bone), are commonly seen and the numbers are increasing at an alarming rate.
According to the (CDC) Centers for Disease Control, gum disease affects over 50% of persons over 35. Once you reach 60, that percentage increases to almost 70%. Therefore, even if you don't think you have gum disease, you probably do.
In her opinion, this is mostly because people are still aware of how to take care of their teeth, but are not aware of how to take care of their gums. Whereas what people need to understand is healthy gums make way for healthy teeth. Only when gums are strong, that's when teeth can become strong and will not fall off at an early or old age.
Food habits also contribute to bleeding gums. Yes, the type of food we eat makes our teeth and gums strong. Soft consistency foods, mainly carbohydrates present in sticky foods like bread & chips, stick to and between the tooth and easily attract the bad bacteria. These carbohydrates attack the tooth and are tough to clean (teeth that are behind) causing bacterial accumulation and gum irritation.
Eat a healthy fibrous diet loaded with fresh fruits and veggies like carrots, spinach, etc. For initiating self-cleansing mechanism for your teeth and improving the condition of your gums. Including vitamin C in your diet can do wonders for your gums make them strong and improve their healing.
Women in their late 30s and early 40s are more sensitive and attract more plaque and bacteria around their gums when the hormonal levels are high. For example, in conditions like pregnancy and menstruation, hence their gums can bleed easily.
An increase in the blood sugar levels of the diabetics also increases the sugar levels in the blood around the teeth and gums. This elevated blood sugar level can invite germs and aggravate plaque growth. And this plaque is the main reason gum problems happen in the first place.
People with maligned teeth (crooked teeth) also experience bleeding from their gums and are more prone to gum diseases and infections. This is because overlapping and crowded teeth are difficult to clean. These areas are often not cleaned properly and some amount of plaque and tartar deposits are left behind, even if you think you might be brushing properly using the right technique.

Brush your teeth right, to keep your gums healthy and tight.
Highlights
Dr. Prachee Hendre, MDS, has completed her post-graduation in Periodontology from Sinhgad Dental College and Hospital, Pune in August 2017. She is an award winner at National level for her paper and poster presentations. She has scientific publications in hername at International level and is also a consultant of periodontal treatments and habit cessation counseling. She is also been nominated at a National level award for her management of various challenging cases in Evidence-Based Periodontics, and won for the same at AFMC, Pune in December 2015. She is an enthusiast looking forward to achieve details in her evidence based practice for providing standardized solutions for the dental issues.
scanO is an AI ecosystem transforming oral health for patients, dentists, corporates, and insurers worldwide

© 2026 Trismus Healthcare Technologies Pvt Ltd