

We often avoid smiling freely as we get conscious of our teeth stains. Tooth discoloration is not only a cosmetic problem, it can even impact your dental health. Here are the reasons why your teeth get stained and what you can do to prevent it.
Stains on your teeth can be permanent or temporary. Temporary staining usually happens due to the food we eat. Certain foods cause light brown to dark brown to even black stains on your teeth. But you can easily get rid of these stains with a simple teeth cleaning and polishing procedure by your dentist.

Permanent teeth staining usually occurs as a result of habits like smoking or chewing tobacco. These stains are initially temporary but eventually become permanent over a period of time. These permanent stains can be taken care of to some degree with a cleaning procedure but not completely. To completely get rid of the permanent stains a cleaning procedure along with teeth whitening can be done. In cases of severe staining sometimes veneers and laminates can be placed.
Tea, coffee, wine, and some fruits (mainly berries and pomegranate) can lead to staining of teeth. Certain Indian spices may also cause stain to your teeth. Indian food also contain turmeric in almost all their preparations. Turmeric may also cause your teeth to stain over a period time.
Your dentist can make out if you're a smoker or a tobacco lover just by a small peek in your mouth. This is because of the stains they cause on your teeth.
Smoking cigarettes can cause light brown to blackish stains on your teeth. Chewing tobacco can cause black stains on your teeth which are difficult to get rid of over a period of time. So if you are a regular smoker or a tobacco chewer you need to get a cleaning done every 6 months.

Improper brushing techniques can deposit a layer of plaque on the tooth surface. This plaque is initially white in color and turns into yellow or picks up the food stains. This gives an illusion as if your teeth are becoming yellow.
Antibiotics, Antipsychotic drugs, Antihistamines are some drugs which are known for teeth discoloration. Certain medications like tetracyclines if consumed by a pregnant mother can cause severe staining to the baby's teeth.

As we grow old, the outer enamel layer of tooth which is white in color wears off, revealing the natural yellow color of inner layer of the tooth that is dentin.
A sudden blow or a punch to your teeth during any sport activity or any accidental fall can cause your tooth to bleed internally and turn pink in color over a period of time. eventually it could also turn brown to grayish to even black in color. This means your tooth is dead and needs a root canal treatment with a crown(cap) to fix this.
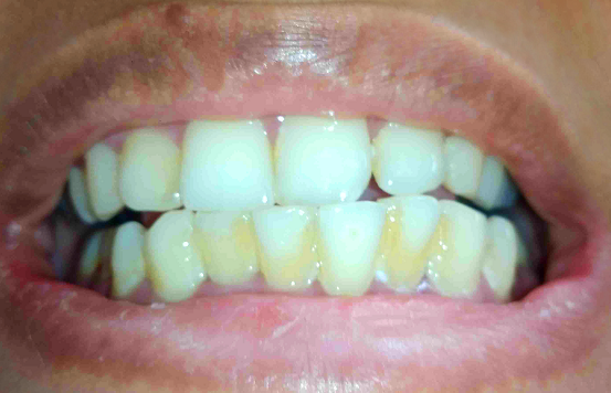
Yellow and brown spots on the teeth is a primary sign of teeth discoloration. They lose their natural shine and white color as the enamel wears off.
The only way to reduce Tooth Discoloration is by making a few lifestyle changes. If you are a consistent tea/coffee drinker and/or a smoker, you need to cut it down! Habits like brushing your teeth twice each day, flossing once every day and using a mouthwash as recommended by your dentist are necessary. Getting your teeth checked timely and getting a teeth cleaning and polishing done every once or twice a year by a dentist will help your pearly whites to shine better.
Highlights
Dr. Amrita Jain is a practicing dental surgeon since 4 years. She completed her B.D.S in 2016 and was has been a rank holder throughout her course. She suggests “Holistic dentistry is the best dentistry”. Her treatment line follows a conservative pattern which means saving a tooth is of utmost priority and preventing your teeth from getting decayed rather than curing it with a root canal treatment. She inculcates the same while consulting her patients.Apart from her interest in clinical practice, she has developed interest in research and writing over a period of time. She states “It is my clinical experience that motivates me to write and spread dental awareness”.Her articles are well researched with a combination of technical knowledge and clinical experience.
scanO is an AI ecosystem transforming oral health for patients, dentists, corporates, and insurers worldwide

© 2025 Trismus Healthcare Technologies Pvt Ltd